IVC Filter Placement in Mohali
The inferior vena cava is the largest vein in the body, carrying de-oxygenated blood from the lower limbs and kidneys back to the heart. DVT causes clots to form in the deep veins of the leg, migrating through the inferior vena cava toward the pulmonary artery - triggering pulmonary embolism, severe shortness of breath, and potentially fatal complications requiring immediate intervention.
At Fortis Hospital Mohali, IVC filter placement is performed by Dr. Ravul Jindal - Director and HOD of Vascular Surgery with 30+ years of experience. A metal cage-like filter device is precisely placed in the abdomen to trap dangerous clots, preventing life-threatening blockage in the heart and lungs.

99%
Recovery Rate


What is IVC Filter Placement ?
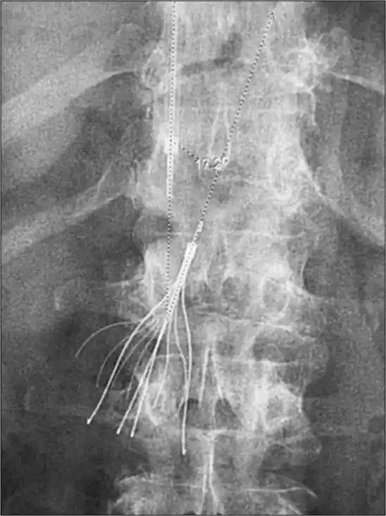
An umbrella-shaped device made of metal, the inferior vena cava filter is deployed through neck veins or groin using fluoroscopy. Its filtration mechanism intercepts large clots before they reach the heart or arteries of the lung. Interventional radiologists use image guidance to position the IVC device inside the large vein of the abdomen. Injectable anticoagulants and oral anticoagulants remain the standard treatment, but when anticoagulation fails, mechanical thrombectomy or catheter directed thrombolysis becomes necessary.
Optionally retrievable filters differ from permanently implanted devices - an IR doctor can withdraw them via groin or neck access. Severe complications like pain, difficulty breathing, or death make proper DVT and pulmonary embolism management critical.
Indications for IVC Filter
Patients with deep vein thrombosis or pulmonary embolism may need an IVC filter when anticoagulants are unsafe, contraindicated, or have repeatedly failed to prevent clot migration toward the lungs.
Blood thinning drugs are contra-indication due to active bleeding.
Recurrent pulmonary thromboembolism despite ongoing blood thinners therapy.
Trauma victims who are immobile and cannot receive anticoagulants.
Massive iliofemoral deep venous thrombosis requiring mechanical thrombectomy intervention.
Bleeding in the brain, trauma, or bleeding in the digestive tract risk.
Patients undergoing major surgery with high clot risk and anticoagulation contraindications.
IVC Filter Placement Procedure
IVC filter placement is a minimally invasive, image-guided procedure performed under local anaesthesia in an interventional radiology suite, ensuring patient comfort and precise filter positioning throughout. The procedure follows these precise steps:
Step 1: Preparation & Sedation
An IV line delivers a sedative for moderate sedation, keeping patients relaxed and comfortable throughout the entire procedure.
Step 2: Vein Access
Access begins through groin veins or neck veins, where ultrasound guidance precisely directs a needle into the vein.
Step 3: Catheter Advancement
A guide wire and sheath follow, advancing a catheter toward the inferior vena cava beneath the renal veins.
Step 4: Precise Positioning
Contrast material confirms precise placement via fluoroscopy, allowing the IVC filter to expand against the walls of the blood vessel.
Step 5: Filter Deployment
The filter is carefully deployed inside the inferior vena cava, trapping dangerous blood clots before they reach the heart or lungs.
Step 6: Monitoring & Completion
Continuous monitoring tracks heart rate, blood pressure, oxygen level, and pulse until the procedure concludes within one hour.
Benefits vs. Risks of IVC Filter Placement
An IVC filter is a small, life-saving device placed inside a large vein to stop dangerous blood clots from reaching your lungs, offering real protection with manageable risks.
Clinical Benefits
Minimally invasive — small nick in skin, no stitches.
High success rate preventing pulmonary embolus reaching lungs.
Outpatient procedure with quick return to normal activities.
Used alongside conventional medical therapy and blood thinners.
Retrievable filters safely removed once clot risk passes.
Potential Risks
Filter migration — device may shift from original position.
Filter fracture — fragments may travel toward the heart or lungs.
Bleeding or blood vessel damage at the puncture site.
IVC blockage causes gradual leg swelling and discomfort.
Recurrent pulmonary embolism if clots pass through a filter.
More Ways to Treat Deep Vein Thrombosis
Dr. Ravul Jindal offers comprehensive DVT management beyond filters for complete clot control:

Catheter Directed Thrombolysis
A minimally invasive procedure where clot-dissolving medication is delivered directly into the affected vein via a catheter.

Mechanical Thrombectomy
Uses specialized catheter-based devices to mechanically break up and remove blood clots from deep veins quickly.
Post-Procedure Care & Recovery
Following IVC filter placement, careful post-procedure care ensures proper healing, minimizes complications, and supports safe recovery — with structured guidance provided at every stage:
Step 1: Follow Post-Procedure Instructions
Your healthcare provider will give specific post-procedure instructions covering medicines, wound care, and exercise restrictions to ensure proper healing at the insertion site.
Step 2: Monitor the Incision Site
Monitor the incision site daily for redness, swelling, or unusual drainage — contact your doctor immediately if pain worsens beyond standard pain medicines control.
Step 3: Attend Follow-Up Appointments
Scheduled follow-up appointments help track your recovery progress effectively, allowing your specialist to assess healing and address any concerns promptly.
Step 4: Watch for Warning Signs
Watch for warning signs — fever above 100.4°F (38°C) warrants urgent medical attention and immediate contact with your healthcare provider.
Step 5: Avoid Shower Initially
Avoid shower use within 24 hours post-procedure to protect the insertion site and prevent infection or complications during early recovery.
Step 6: Imaging & Filter Review
Your surgeon will arrange imaging tests to confirm filter position and determine whether removal becomes necessary based on your clinical progress.
Book Your Expert Vascular Consultation
If you experience chest pain, shortness of breath, or excessive swelling, seek emergency medical care immediately.
Why Dr. Ravul Jindal Is Mohali's First Choice for IVC Filter Placement
When it comes to preventing life-threatening pulmonary embolism, experience and precision matter most. Dr. Ravul Jindal brings over 30 years of dedicated vascular surgery expertise, ensuring every IVC filter placement in Mohali is performed with maximum safety and accuracy.

"Trust Dr. Ravul Jindal for safe, precise, and life-saving IVC filter care in Mohali."
Expertise
Vascular Experience
30+ Years of Vascular and Venous Surgery Experience
Clinical Leadership
Director and HOD of Vascular Surgery, Fortis Hospital Mohali for 16+ Years
Specialized Care
Specialist in Both Permanent and Retrievable IVC Filter Placement and Removal
Advanced Technology
Advanced Image-Guided, Minimally Invasive Techniques for Precise Filter Deployment
Expert Management
Expert Management of Complex DVT and Pulmonary Embolism Cases
Personalised Treatment
Personalised Treatment Plans Tailored to Every Patient's Clot Profile and Medical History
Cost of IVC Filter Placement in Mohali
IVC filter placement cost in Mohali depends on filter type, procedure complexity, hospital facilities, imaging guidance, anaesthesia, and post-procedure care — ensuring transparent and personalised pricing for every patient at Fortis Hospital Mohali.
Retrievable IVC filter placement
Starting From
Permanent IVC filter placement
Starting From
IVC filter removal procedure
Starting From
CT scan / imaging guidance
Starting From
Doppler ultrasound
Starting From
Note: Exact treatment cost is confirmed only after a personal consultation with Dr. Ravul Jindal. Pricing may differ based on filter type, procedure complexity, hospital stay, and individual clinical requirements.
Frequently Asked Questions About IVC Filter
Q1. What is an IVC filter?
Q2. Why is an IVC filter placed?
Q3. How is the IVC filter placed?
Q4. How long does the procedure take?
Q5. Is the procedure painful?
Q6. Can the IVC filter be removed?
Q7. What are the risks of IVC filter placement?
Q8. Why choose Dr. Ravul Jindal for IVC Filter Placement in Mohali?
Consult the Best Vascular Surgeon in Mohali Today
Don't leave your vascular health to chance. Get expert advice on IVC filter placement and DVT management from Dr. Ravul Jindal.